内科胸腔镜微创破局,小切口守护大呼吸
真实案例·困难重重
"医生,我这胸口像压了块石头,喘口气都费劲..."46岁的张先生怎么也没想到,一场看似普通的感冒竟让他住了院。这位患有糖尿病的退伍军人,因长期未控制的血糖导致免疫力低下,一场感冒后竟引发致命性脓胸。
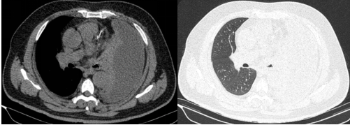
入院时CT显示:左侧胸腔被积液填满,如同一个巨大的"脓袋"压迫着正常肺组织。

收入呼吸与危重症医学科后立即给予胸腔穿刺置管引流术,术后引流出大量的红色的脓性积液,胸水化验提示感染性胸腔积液,胸水培养提示中间链球菌,诊断为左侧脓胸,治疗方案初步采取胸腔引流配合抗生素抗感染。

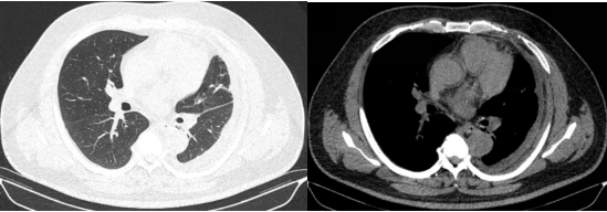
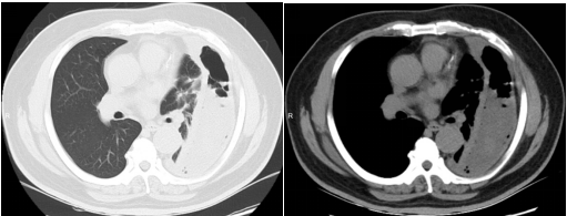
棘手的是,传统穿刺引流如同"抽丝剥茧",抽出近2000ml腥臭脓液后,复查CT仍见残留大量纤维分隔包裹,配合强力抗生素治疗,患者仍然持续高烧不退。

尖端技术·精准破局
在科室主任齐志江带领下,团队决定启用"内科胸腔镜微创术"。这种被誉为"呼吸科医生的第三只眼"的技术,仅需不到2cm微创切口。

可视化清创:360°探查胸膜腔,精准清除脓苔及坏死组织。

靶向松解:活检钳、电刀分离致密粘连,恢复肺组织活动度。

历经4小时鏖战,手术团队成功拆除"定时炸弹"。术后第二天,患者体温即开始逐渐下降,后续继续全身应用抗生素、胸腔灌注药物、控制血糖、营养支持等综合治疗,患者病情迅速好转,复查肺CT恢复良好,患者对治疗效果表示满意。

硬核实力·护航生命
作为烟台市首批重点专科,医院呼吸介入团队具有众多优势:
1.全链条诊疗体系:从常规支气管镜、超声支气管镜到内科胸腔镜设备齐全,从常规检查,到电凝、电切、冷冻、注药、光动力、支架植入、EBUS-TBNA、胸膜腔黏连带松解术等等技术全面,实现肺部疾病精准诊断。
2.安全支持强大:呼吸重症监护室及综合重症监护室配备ECMO、床旁血滤等高端设备,可为呼吸介入提供强大安全保障。
3.全程管理理念:建立"评估-干预-康复"一体化服务体系。


滨医烟台附院官方微信平台
滨医烟台附院微信服务平台
“病案通”微信公众号
鲁公网安备 37061202000127号